今天是: 设为首页 收藏本站 联系我们  
  网站首页   |    医院简介   |    医师介绍   |    服务项目   |   案例展示   |   医疗设备   |    宠物用品   |   宠物常识   |   在线咨询   |   联系我们  
华枝睾吸虫病的临床症状
编辑:lapet120 来源:本站 发布时间:13-03-26 浏览次数:3506

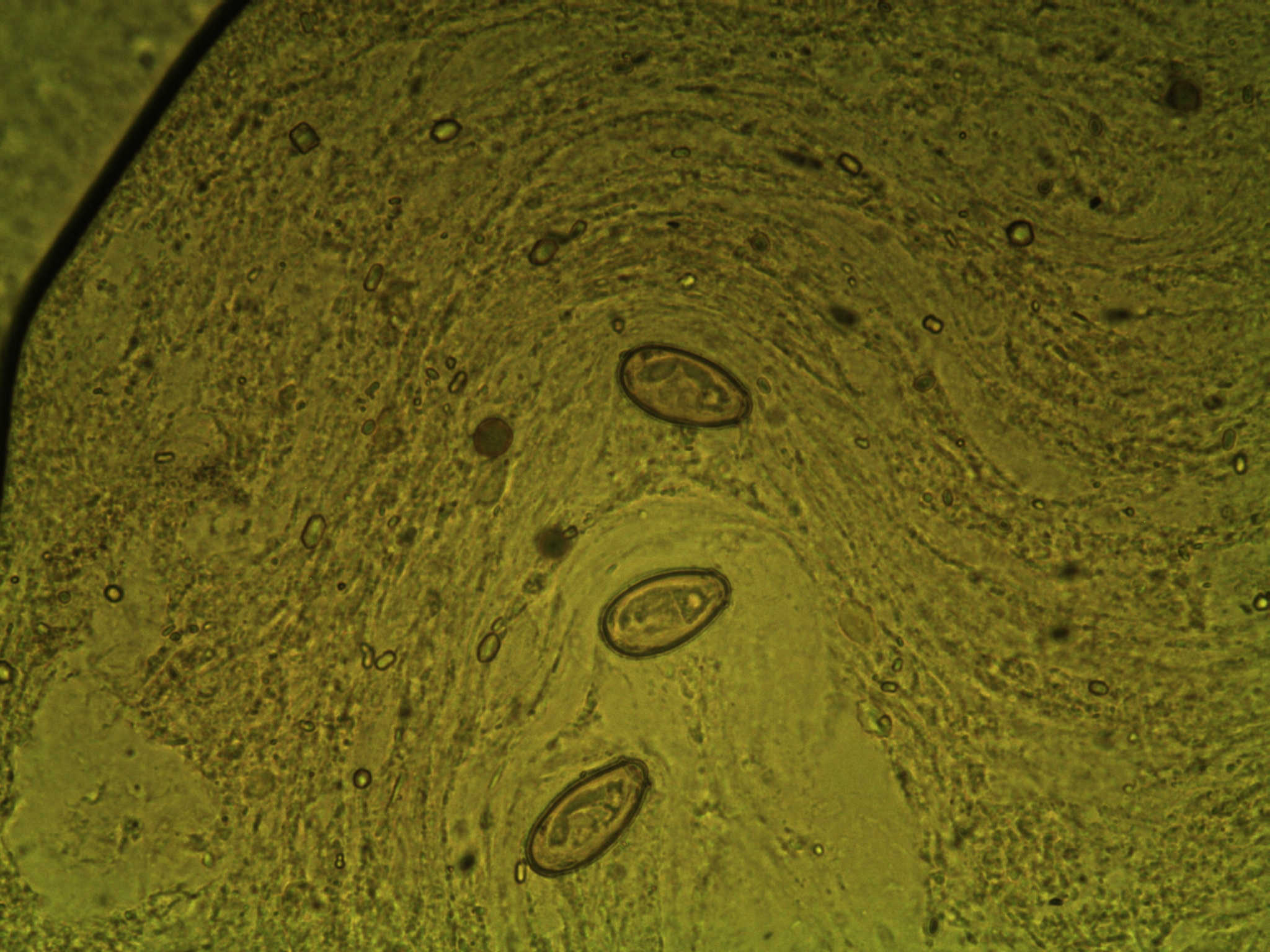
病犬常呈慢性经过,表现长期消化不良,异嗜,食欲减退,前期便秘,后期腹泻,间歇便秘或下痢交替出现,渐进性消瘦,可视粘膜苍白黄染;病的后期出现腹水,腹围膨大,扣诊呈水平浊音,上界随着体位的变化而变化,腹腔穿刺后有透明液体流出;病犬常呈站立姿势或犬坐姿势,呼吸困难,有的可触摸到肝脏肿大;实验室检查常见贫血、总胆红素、碱性磷酸酶升高;粪便镜检可确诊如图:

 

 

 

下一篇:[13-08-15] 一例藏獒蠕形螨伴发脓皮病的诊断治疗            上一篇:[13-03-26] 如何诊治犬巴贝斯虫病
  版权所有 伊宁市首嘉宠物医院 技术支持:安徽雷速 【网站管理】
地 址:新疆伊宁市开发区辽宁路和谐一期1-3门面房(英才学校斜对面) 宠物热线:0999-8991206